গলায় ব্যথা হলেই
আমরা বলে দিই, তোমার তো টনসিল
হয়েছে।
তো এই টনসিলটা
কী?
টনসিল হলো আমাদের
শরীরের প্রতিরোধ ব্যবস্থার একটা অংশ এবং আমাদের মুখের ভেতরেই চারটি গ্রুপে তারা অবস্থান
করে। এদের নাম লিঙ্গুয়াল, প্যালাটাইন, টিউবাল ও অ্যাডেনয়েড। এই টনসিলগুলোর
কোনো একটির প্রদাহ হলেই তাকে বলে টনসিলাইটিস। ‘টনসিল বলতে আমরা
সচরাচর যা বুঝি, তা কিন্তু আসলে
টনসিলাইটিস।
টনসিলাইটিস যে
শুধু শিশুদের হয়, তা নয়। এটা শিশুদের বেশি
হলেও যেকোনো বয়সেই হতে পারে।
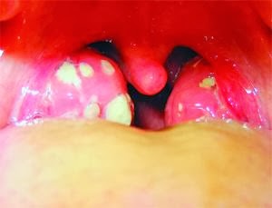
আর প্যালাটাইন
টনসিলই সবচেয়ে বেশি প্রদাহ সৃষ্টি করে, ফলে গলা ব্যথা হয়।এই প্রদাহ সাধারণত
দুই ধরনের হয়। একটি তীব্র বা
অ্যাকিউট। আর অন্যটি দীর্ঘমেয়াদি বা ক্রনিক টনসিলাইটিস।
রোগের লক্ষণঃ-
* তীব্র গলাব্যথা।
* মাথাব্যথা, উচ্চ তাপমাত্রা।
* খাবার খেতে কষ্ট
ও মুখ হাঁ করতে অসুবিধা হয়।
* কানে ব্যথা হতে
পারে।
* মুখ দিয়ে লালা
বের হয় ও কণ্ঠস্বর ভারী হয়ে যেতে পারে।
* মুখ থেকে দুর্গন্ধ
বের হতে পারে।
* স্বরভঙ্গ, গলায় ঘাসহ টনসিল স্ফীতি, ঢোঁক গিলতে কষ্ট হয়, গলা ফুলে যাওয়া।
কারণঃ-
পুষ্টির অভাব,আইসক্রিম, ফ্রিজে রাখা শীতল পানি বেশি পান করা টনসিলের
জন্য ক্ষতির কারণ হতে পারে। স্যাঁতসেঁতে স্থানে বাস করলে, আবহাওয়ার পরিবর্তনে শীতের প্রকোপ বেশি
হলে, রোদ থেকে এসে ফ্রিজের ঠান্ডা পানি পান
করলে, গরমে ঘাম বসে গেলে
টনসিলের প্রদাহ বেড়ে যেতে পারে।
চিকিৎসাঃ
* প্রচুর পরিমাণে
পানি খেতে হবে।
* পূর্ণ বিশ্রাম নিতে হবে। পূর্ণ বিশ্রামে
থাকতে হবে যত দিন সুস্থ না হবে।
* মুখের হাইজিন (মুখগহ্বরের স্বাস্থ্য) বা ওরাল হাইজিন ঠিক
রাখতে হবে। এটাকে মাউথ ওয়াশ বলা হয়, যা দিয়ে বারবার কুলি করতে হবে।
* সাধারণ স্যালাইন
বা লবণ মিশ্রিত গরম পানি দিয়ে বারবার কুলি করতে হবে। লেবু বা আদা চাও
খেতে পারেন।
* গলায় ঠান্ডা লাগানো যাবে না।
* যেহেতু তীব্র ব্যথা
থাকে এবং জ্বর থাকে, সে ক্ষেত্রে জ্বরের
ওষুধসহ কিছু ওষুধ দেওয়া হয় এবং এটা ব্যাকটেরিয়া জনিত ইনফেকশন হলে চিকিৎসকের পরামর্শে ওষুধ খেতে হতে পারে। ওষুধ নিয়মিত খেলে ব্যাকটেরিয়া সম্পূর্ণ মুক্ত হয়ে যায়
এবং রোগী সুস্থ হয়ে ওঠে।
* দীর্ঘমেয়াদি টনসিলাইটিসের চিকিৎসা সাধারণত অস্ত্রোপচার। যদি বারবার টনসিলাইটিস
হয় বা এর জন্য অন্য কোনো জটিলতার সৃষ্টি হয়ে থাকে, সে ক্ষেত্রে টনসিল কেটে বা অস্ত্রোপচার করে ফেলাই ভালো।
জটিলতাঃ
* টনসিল ফুলে শ্বাসনালী বন্ধ হয়ে যাওয়া।
* গিলতে অসুবিধা হওয়ায় পানি না খেয়ে ডিহাইড্রেশন।
* বাতজ্বর এমনকি রিউমেটিক হার্ট ডিজিজ।
* গলার অন্যান্য স্থানে পেরিটনসিলার এবসিস।
কী কী কারণে টনসিলের
অস্ত্রোপচার করা দরকার?
* দীর্ঘমেয়াদি
বা ক্রনিক টনসিলাইটিস
* টনসিল বয় হয়ে
শ্বাসনালি বন্ধ হয়ে গেলে এবং নিঃশ্বাস নিতে অসুবিধা হলে।
* টনসিলে যদি ফোঁড়া
হয়, অর্থাৎ ইনফেকশন
হলে।
* যদি বছরে চার-পাঁচবারের
বেশি টনসিল ইনফেকশন হয়।
* এসব কারণ ছাড়াও
যদি দীর্ঘমেয়াদি বা ক্রনিক ক্রিপটোকঙ্কাল ইনফেকশন হয়
কখন অস্ত্রোপচার করা যাবে নাঃ-
* অ্যাকিউট ইনফেকশন
থাকলে টনসিলে অস্ত্রোপচার করা যাবে না। কারণ, তখন ইনফেকশন সারা শরীরে ছড়িয়ে যেতে পারে বন্ধ না-ও হতে পারে।
* জ্বর বা ব্যথা
থাকা অবস্থায় করা যাবে না।
* যদি কারও রক্তরোগ
থাকে, যেমন থ্যালাসেমিয়া। রক্তনালি এবং রক্তরোগ
থাকলে টনসিলে অস্ত্রোচার করা যাবে না।
* এ ছাড়া উচ্চ রক্তচাপ
থাকলে অস্ত্রোপচার করা যাবে না। এ ক্ষেত্রে যদি করতেই হয়, তাকে উচ্চ রক্তচাপ নিয়ন্ত্রণে এনে অস্ত্রোপচার করতে হবে।
* ডায়াবেটিস থাকলে
অস্ত্রোপচার করা যাবে না। অস্ত্রোপচারের আগে ডায়াবেটিস নিয়ন্ত্রণে আনতে হবে।
কিছু ভুল ধারণা!
টনসিল ফেলে দিলে
শরীরে রোগ প্রতিরোধ ক্ষমতা কমে যায়, এটা ঠিক নয়। কারণ, টনসিল হলো প্রথম পাহারাদার। এর পরও গলায় ৩০০-এর বেশি লালাগ্রন্থি বা গ্ল্যান্ড আছে, যেগুলো রোগ প্রতিরোধ করে। অনেক সমীক্ষায়
দেখা গেছে, টনসিলে অস্ত্রোপচার করার আগে ও পরে রোগ
প্রতিরোধে কোনো তারতম্
হয় না। অনেক সময় গলার
বাইরের দিকে দুই পাশে বরই বিচির মতো দুটি দানা ফুলে উঠতেও দেখা যায়, অনেকে এগুলোকে টনসিল মনে করলেও এরা কিন্তু
টনসিল নয়। রোগী বড় করে মুখ হাঁ করলে ভেতরের দিকে যে দুটি বড় দানার
মতো দেখা যায়, তা-ই হলো টনসিলাইটিসে
আক্রান্ত টনসিল।







0 comments:
Post a Comment